Hívjon:
(30) 229 9698
Lázár Károly utca 1.
4400 Nyíregyháza
Magánrendelés:
Nyíregyháza
Hétfő 17.00 - 19.00
(30) 229 9698
4400 Nyíregyháza Lázár Károly utca 1.
Menü

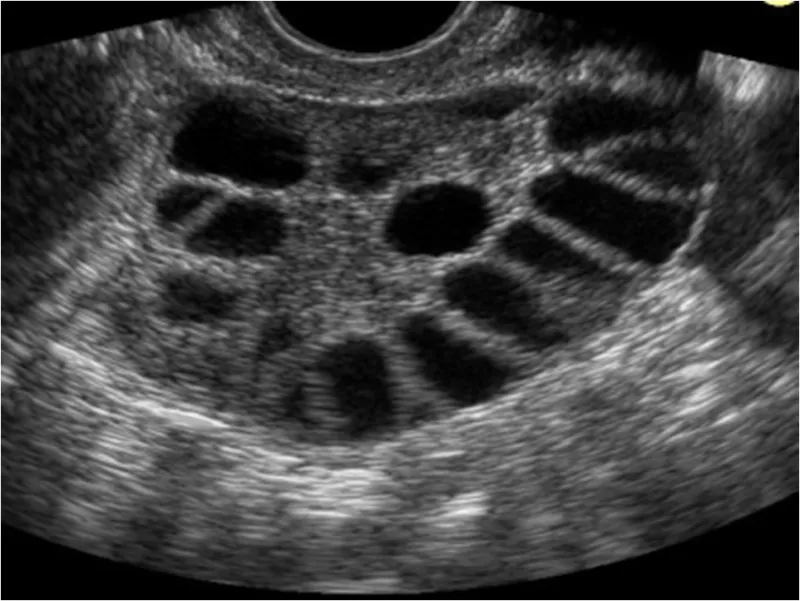
Mi is a :Policisztás ovárium szindróma?

Policisztás ováriumnak, azaz sok hólyagocskát tartalmazó petefészeknek nevezik azt, amikor a petefészekben (a tüszőrés zavarából kifolyólag számos kis tüsző indul növekedésnek, de ezek érése nem fejeződik be. Ez egy összetett hormonális betegség, mely a nemi hormonok termelésén túl (petefészek működési zavara) a szénhidrát anyagcsere zavarát is magában foglalja.

Normál esetben a petefészkekben számtalan igen apró éretlen és havonta peteéréskor egy-kettő 20 mm körüli nagyságú tüsző található.

Hogyan derül ki, hogy Policisztás Ovárium Szindrómája van?

Leginkább jellemző tünet, ha kimarad a vérzés, de negatív a terhességi teszt.

Azonban a férfihormon túlműködés jelei - azaz sűrűbb szőrzet, vagy szőrzet megjelenése férfiakra  jellemző helyeken, pl. állon, mellkason, köldök alatt. A petefészek működésének zavarai miatt elmarad a petesejt érés, nincs rendszeres menstruációs vérzés és ez meddőséghez is vezethet.

A szénhidrát anyagcsere zavara pedig emelkedett vércukorszintet, inzulinrezisztenciát és később cukorbetegséget is okozhat.

A nőgyógyászati ultrahang is kimutathatja a PCO jelenlétét.

Vigyázat! Az inzulinrezisztencia megváltozásával is összefügghet a PCO, ezért figyelni kell, nehogy a későbbiekben cukorbetegség is kialakuljon a páciensnél!

A PCO felléphet súlyos D-vitamin hiány esetében is. Ilyenkor egyszerűbb a kezelés, hiszen csak pótolni kell a D-vitamint.

PCO kezelése

A PCO kezelése igen komplex.

A kezelést mindig egyénre szabottan kell elkezdeni. Lényeges, hogy előtte a laborkivizsgálások megtörténjenek és egyértelmű legyen a gyerekvállási szándék megléte vagy hiánya, mert ettől függ , hogy a petefészek működését mennyire serkentjük.

Ha szükséges, akkor műtéti eljárást is végzünk a gyógyszeres terápia mellett. Ezt az ún drilling eljárással végezzük, azaz a petefészek megvastagodott kérgi részét többször átlyukasztjuk, esélyt és helyet adva a frissen érő tüszők normál növekedésének. A beavatkozás után a hormonális egyensúly eltolódásai napokon belül elkezdenek rendeződni, a megemelkedett férfihormon szint gyors és jelentős csökkenést mutat, a cikluszavar megszűnik.

A megoldások között szerepel a diéta, táplálékkiegészítők használata, endokrinológiai kezelés, ovuláció indukciós kezelés vagy sebészi, laparoszkópos eljárás.

Amennyiben a fentiekhez hasonló panaszai vannak, mindenképpen keressen fel egy nőgyógyászt!

Rendelésemre történő bejelentkezésre itt van lehetősége...